next
return to index

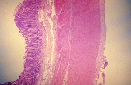
VIII-2 (4) Slide 61, Colon (H&E). (L-R) Epithelium with crypts of Lieberkühn, muscularis mucosa, submucosa, muscularis externa, serosa and mesothelium. Note there is no villus.