previous / next
return to index

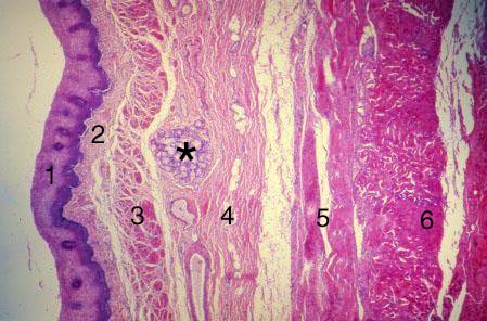
VII-35 (5) Slide 53, Esophagus (H&E). Low power view of esophagus. Observe epithelium (stratified squamous nonkeratinizing), lamina propria, muscularis mucosa, submucosa with esphageal gland (seromucous), and inner circular and outer logitudinal muscle layers (mostly skeletal, some smooth).