previous / next
return to index

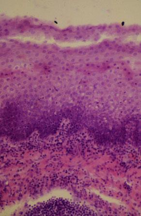
VI-61 (4) Slide 38, Palatine Tonsil (H&E). Strati-fied squamous nonkeratinizing epithelium is invaded by lymphocytes.