previous / next
return to index

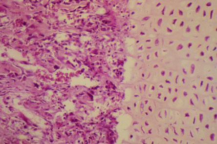
IV-41 (5) Slide 12, Endochondral Ossification (H&E). (continuation: R-L) Zone of hypertrophy, zone of calcification, metaphysis with zone of ossification and primitive bone marrow with bony spicules.