previous / next
return to index

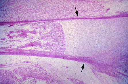
IV-5 (4) Slide 12, Developing Bone (H&E). Examine cartilage (right) and its perichondrium (arrows).