previous / next
return to index

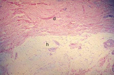
III-8 (4) Slide 76, Thin Skin. Low power view. Dermis (d) is dense irregular connective tissue, and hypodermis (h) is largely adipose tissue.