previous / next
return to index

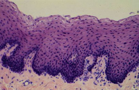
II-28 (5) Slide 42, Lip (H&E). Medium power view of vestibular surface lined by stratified squamous nonkeratinizing epithelium.