previous / next
return to index

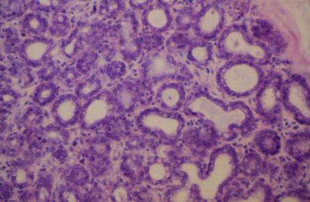
XI-69 (4) Slide 108, Active Mammary Gland (H&E). A medium power view. Note simple cuboidal epithelium of developing acini, which are stimulated in response to fetal progesterone and maternal prolactin.