previous / next
return to index

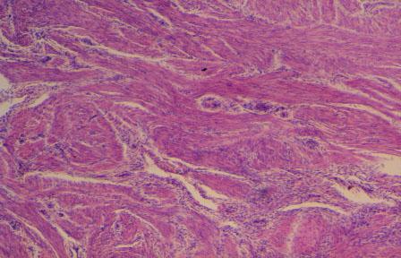
XI-53 (4) Slide 103, Uterus (H&E). Medium power view of myometrium. Observe complex intermingling layers of smooth muscle cells.