previous / next
return to index

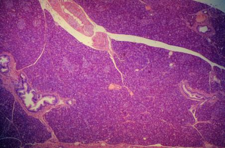
X-65 (4) Slide 68, Islets of Langerhans (H&E). Low power view of the pancreas. Pale purple staining areas (circular) are the islets of Langerhans. Dense purple staining areas are exocrine pancreas.