previous / next
return to index

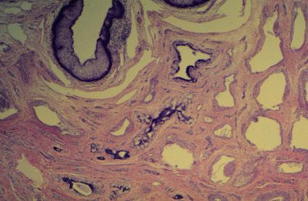
X-19 (4) Slide 90, Penile Urethra (H&E). Low power view of penile urethra surrounded by the erectile tissue of the corpus cavernosum urethra.