previous / next
return to index

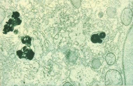
I-45 (3) EM of secondary lysosomes. Also present are SER and mitochondria.