previous / next
return to index

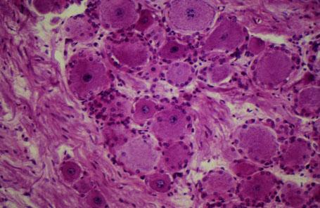
I-13 (5) Slide 20, Dorsal Root Ganglion, Spinal (H&E). High power view. Nuclei are centrally located and some are seen with nucleoli. Observe basophilic Nissl substance (RER) within the cytoplasm.