image/ix-34d.jpg, 23.1K

previous / next
return to index

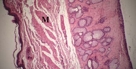
IX-34D Eyelid (higher power); skin on left, conjunctiva on right. Tarsal plate with Meibomian glands, and orbicularis oculi (M) can be seen.