previous / next
return to index

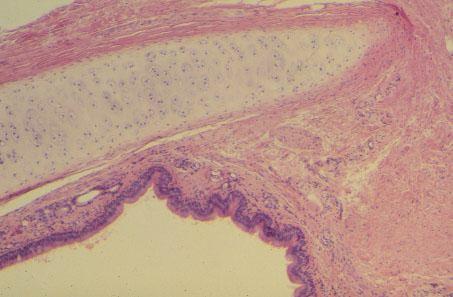
IX-12 (5) Slide 72, Trachea (H&E). Observe hyaline cartilage surrounded by perichondrium, seromucous glands in submucosa, and respiratory epithelium.