previous
return to index

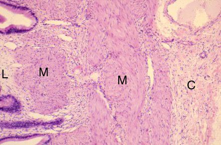
VIII-36, Slide 67, Gallbladder (H&E). From left to right note the simple columnar epithelium, lamina propria (L), smooth muscle bundles of the muscularis (M) and connective tissue (C).