previous / next
return to index

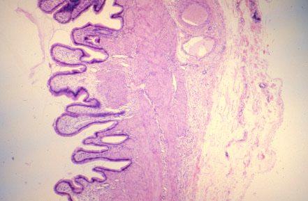
VIII-34, Slide 67, Gallbladder (H&E). The mucosa of the gallbladder forms irregular projections.