previous / next
return to index

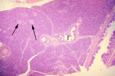
VIII-21, Slide 68, Pancreas (H&E). Low power view of pancreas. The majority of cells are basophilic-staining serous acinar cells. The islets of Langerhans (arrows) are pale-staining clusters of cells. Note the interlobular ducts (I) located within a connective tissue septum.