previous / next
return to index

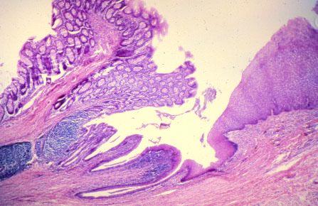
VIII-8, Slide 63, Rectoanal Junction (H&E). The rectum with simple columnar epithelium is on the left, and anal canal with stratified squamous epithelium is on the right.