previous / next
return to index

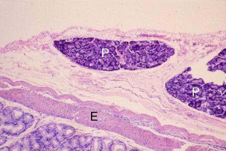
VII-55, Slide 57, Pylorus of the Stomach and Duodenum (H&E). Another section of duodenum demonstrating Brunner's glands, muscularis externae (E) and several fragments of pancreas (P). This section illustrates the close proximity of duodenum and pancreas.