previous / next
return to index

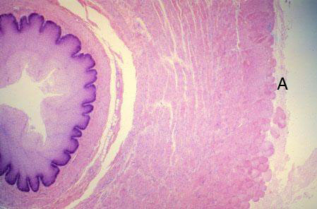
VII-40, Slide 54, Esophagus (H&E). Low power view of the wall of the esophagus. At the left is nonkeratinized stratified squamous epithelium lining the lumen. Note the connective tissue adventitia (A) on the far right.