image/vi-29h.jpg, 24.3K

previous / next
return to index

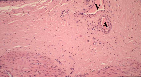
VI-29H An arteriole (A) and venule(V).