image/vi-29d.jpg, 38.6K

previous / next
return to index

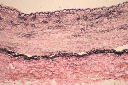
VI-29D A muscular artery in transition from an elastic artery. Note the elastic elements scattered throughout much of the media.