previous / next
return to index

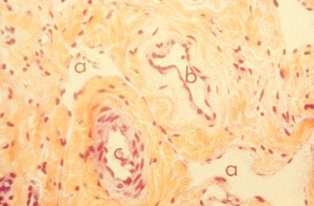
VI-29 (3) Arteriole and Venule. a: lymphatics, b: venule, and c: arteriole.