next
return to index

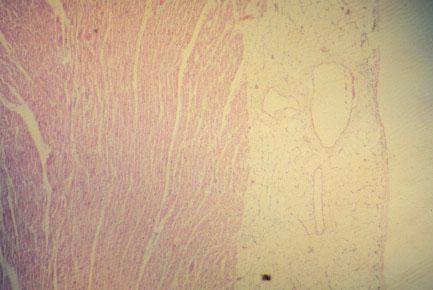
VI-2 (3) Slide 31, Heart (H&E). Low power view of epicardium (right) and myocardium (left). Observe large vessels and adipose tissue in epicardium which is lined by mesothelial cells.