previous / next
return to index

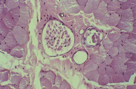
V-75 (4) K Slide 25, Muscle Spindle (H&E). A muscle spindle (right) and a large nerve bundle (left). Intrafusal fibers are inside the spindle and are smaller than extrafusal fibers which are outside the spindle.