previous / next
return to index

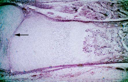
IV-31B Two articular surfaces (arrow) of adjacent bones (developing via endochondral ossification).