previous / next
return to index

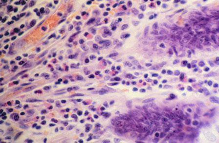
III-48 (5) Biopsy of Appendix (not in slide box). Plasma cells with characteristic nuclear chromatin pattern are numberous in the tunica propria.