previous / next
return to index

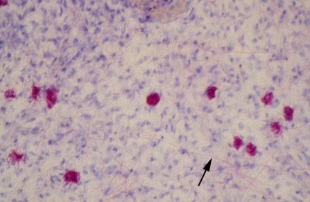
III-40 (4) Slide 115, Rat Mesentery. In this loose connective tissue, mast cell granules are stained pink, and fibroblast nuclei purple. Also seen are thin elastic fibers (arrow).