previous / next
return to index

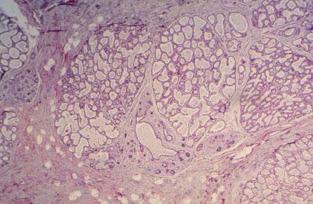
XI-70 (4) Demo slide 118, Lactating Mammary Gland (H&E). A low power view during nursing. Note dilated lumen of acini and interlobular ducts surrounded by adipose connective tissue.