previous / next
return to index

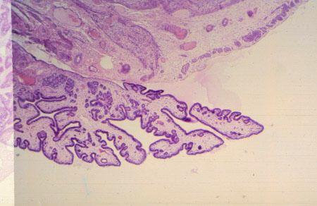
XI-46 (4) Slide 96/97, Infundibulum (Fimbriae) of Oviduct. Low power view. Note finger tip-like projections of oviduct mucosa.