previous / next
return to index

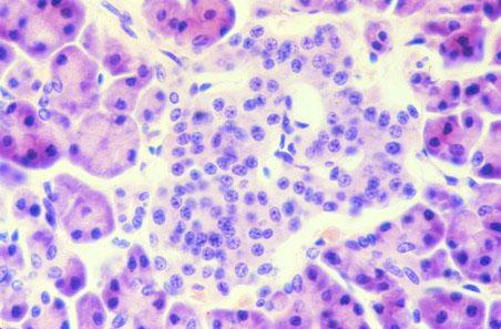
X-66 (5) Slide 68, Islets of Langerhans (H&E). High power view of an islets of Langerhans (circular structure in the middle) surrounded by exocrine pancreas.