previous / next
return to index

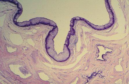
X-20 (4) Slide 90, Penile Urethra (H&E). Low power view of penile urethra surrounded by corpus cavernosum urethrae.