previous / next
return to index

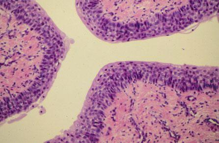
X-16 (4) Slide 87, Ureter (H&E). High power view. Observe transitional epithelium with surface facet (balloon) cells.