previous / next
return to index

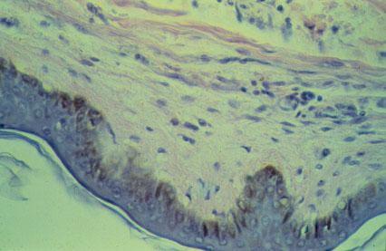
I-31 (4) K Slide 7. Skin epithelium (epidermis) is seen on the bottom. Locate the pigmented cells (rust-brown color).