previous / next
return to index

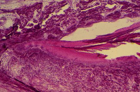
IX-67 (4) Slide 80, Nail (H&E). Medium power view of nail root. Observe nail matrix.