previous / next
return to index

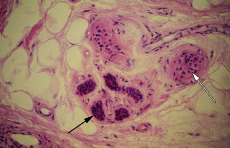
IX-51 (5) Slide 79, Fingertip, Thick Skin (H&E). High power view of an eccrine (Merocrine) sweat gland in the hypodermis. The pink area (simple cuboidal epithelium) (open arrow) is the secretory portion, and the dark basophilic staining area (stratified cuboidal epithelium) (arrow) is a sweat duct. The eccrine sweat gland is extensively coiled, hence many cross sections are seen.