next
return to index

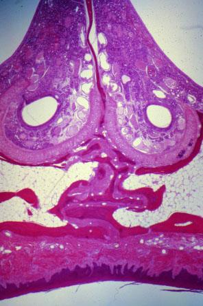
IX-2 (5) Slide 69, Nasal Septum (H&E). Hard palate (roof of the mouth, bottom) and nasal septum (top). The spaces on both sides of the septum are the nasal fossae.