previous / next
return to index

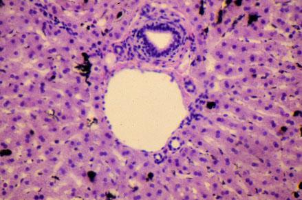
VIII-33 (5) Slide 66, Liver (H&E, carbon injected). Kupffer cells (hepatic macrophage) can be identified by phagocytosed carbon particles. They line sinusoids together with endothelial cells. Cords of hepatocytes (cuboidal cells with round heterochromatic nuclei) are well demonstrated. Also seen are portal vein, a large bile duct and several small bile ducts.