previous / next
return to index

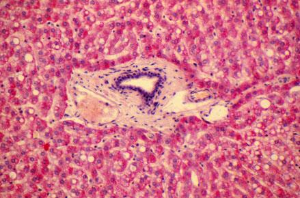
VIII-31 (5) Slide 65, Liver (H&E + glycogen stain). Note glycogen (magenta) stored in the cytoplasm of hepatocytes. The portal triad has portal vein, bile duct, hepatic artery, and lymphatic vessels.