previous / next
return to index

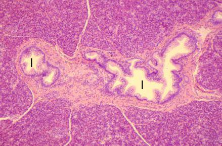
VIII-24 (4) Slide 68, Pancreas (H&E). Large ducts in connective tissue septum.