previous / next
return to index

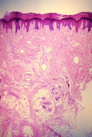
III-15 (4) Slide 79, Thick Skin. Low power view of epidermis (top, dark staining area), dermis (dense irregular connective tissue), and hypodermis (adipose tissue).