previous / next
return to index

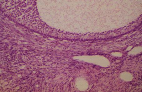
XI-40 (4) Slide 96/97, Ovary (H&E). Medium power view with a secondary follicle, theca interna, and theca externa. Which stage of oocyte development is this?