previous / next
return to index

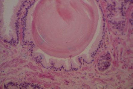
XI-20 (4) Demo slide, Prostate Gland (H&E), high power. Branched tubuloacinar glands are contained within a fibromuscular stroma. A prostatic concretion (corpus amylacea) is seen.