next
return to index

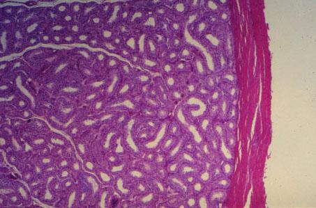
XI-3 (4) Slide 109, testis (H&E). Low power view. Observe tunica albuginea (DIACT) (right) and seminiferous tubules (germinal epithelium).