previous / next
return to index

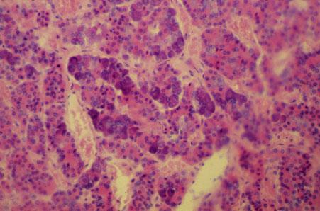
X-52 (5) Slide 91, Pituitary Gland (H&E). High power view of pars distalis. Acidophils (pink), basophils (dark purple) and chromatophobes (light staining) can be identified. Cells are arranged in arched clusters.