previous / next
return to index

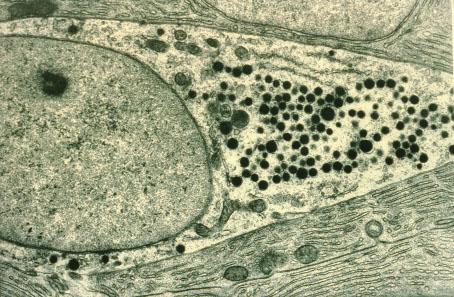
I-43 (5) EM of granules. In this example, proteins are packaged in vesicles and stored at the conical portion of the nucleus, and released by external stimulus.